CASES 症例紹介
ここでは特徴的な症例について、一部をご紹介いたします。
※手術の写真を掲載しておりますので、苦手な方はご注意ください。
小滝橋動物病院グループ全体の外科症例件数については、>こちらをご参照ください。

尿道閉塞の猫の1例(血尿、結石、尿管、膀胱)

尿道閉塞とは、結石や結晶・赤血球などが尿道に詰まってしまうことで排尿ができなくなる病気です。
初期症状では膀胱炎の症状と似ており、〈頻尿〉〈排尿痛〉〈血尿〉などが認められます。
重症になると、〈トイレから出てこない〉〈ぽたぽたと尿が垂れる〉という症状に変わり、
排尿ができなくなると急性腎不全に陥ることで、〈元気消失〉〈食欲不振〉などの症状が認められます。
今回はストラバイト結晶が原因による膀胱炎により、尿道閉塞した猫について紹介したいと思います。
4歳の去勢オスで、2−3日前からの血尿、朝から尿が出にくそうとのことで来院されました。
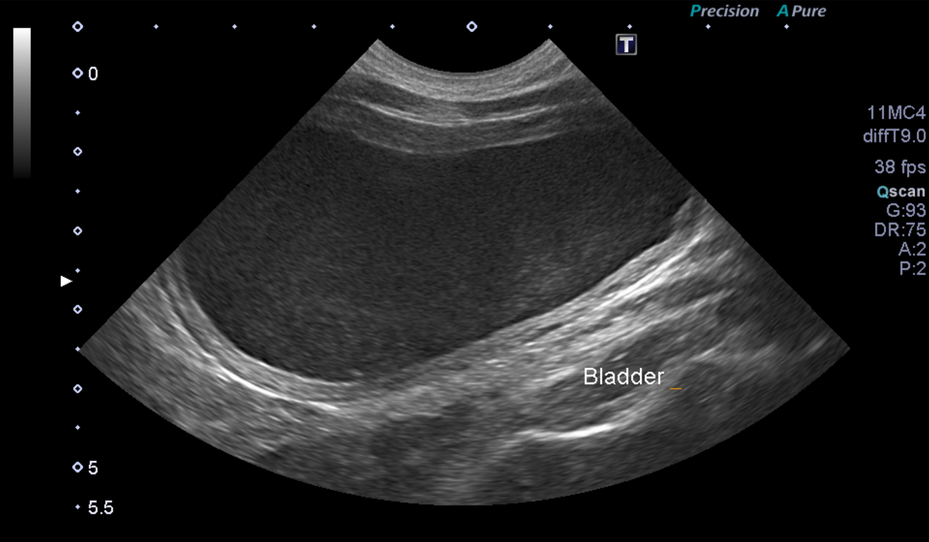
超音波検査で膀胱内に多量の尿が認められ、膀胱内の尿はモザイク様に観察されました。
尿検査では重度の血尿が認められました。
また血液検査では、腎臓の数値である
・BUN(尿素窒素):95.6mg/dL(正常値:17.6-32.8)
・Cre(クレアチニン):3.22mg/dL(正常値:0.80-2.10) と高値を示しました。
以上のことから尿道閉塞による急性腎不全と診断し、入院下での治療を開始しました。
治療としては、尿道にカテーテルを入れて閉塞を解除し、膀胱の洗浄を行いながら、腎臓の保護のために点滴を行います。
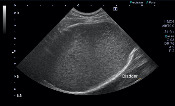
2日後にはBUN95.6→23.4mg/dL、Cre3.22→0.93mg/dLと正常値まで低下しました。
超音波検査でも、膀胱内の尿が綺麗になっているのが確認できます。
退院時には、抗生剤と止血剤とステロイドを処方し経過観察としました。
本症例はその後一度完治しましたが、膀胱炎を再発し治療を継続しています。
尿道閉塞は再発しやすい病気です。
食事療法や、水置き場を増やすなどの工夫、初期症状での早めの来院など上手に付き合っていくことが大切です。
また冬場は飲水量の減少のため、泌尿器疾患を持っている子には特に注意が必要です。
ご質問がございましたら、お気軽にご相談ください。



文責:獣医師 横山

本駒込動物動物病院
〒113-0021 文京区本駒込2-27-10  03-5319-1910
[内科症例一覧]