CASES 症例紹介
ここでは特徴的な症例について、一部をご紹介いたします。
※手術の写真を掲載しておりますので、苦手な方はご注意ください。
小滝橋動物病院グループ全体の外科症例件数については、>こちらをご参照ください。

僧帽弁閉鎖不全症の犬の1例(心臓病、咳、肺水腫)

犬の僧帽弁閉鎖不全症は、犬では一番多い心臓の疾患です。
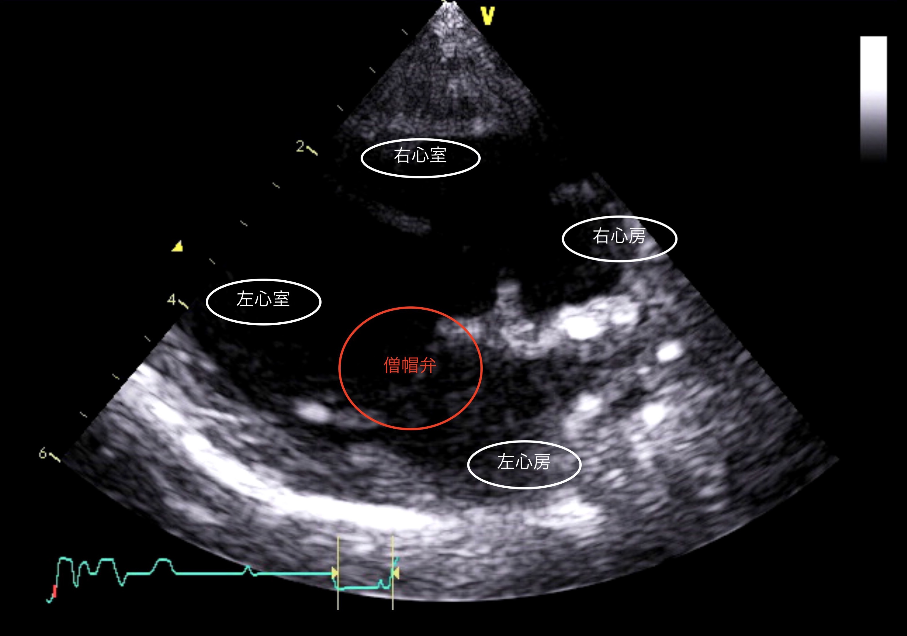
心臓の左側の部屋(左心房/左心室)を仕切る弁(僧帽弁)の閉鎖が不完全なことが原因で、血液の逆流が起こり症状を起こします。
症状としては、循環不全による〈運動不耐性〉や、心臓が拡大し気管を圧迫することによる〈発咳〉などが挙げられます。
重症化すると肺に水がたまり(肺水腫)、〈呼吸不全〉が認められることもあります。
治療としては、多くの場合内科療法を選択しますが、年齢などでは心臓外科手術が適応となる場合もあります。


今回は僧帽弁閉鎖不全症と診断されたチワワ、14歳、去勢雄の1例について紹介したいと思います。
1ヶ月前より咳が悪化したとのことで来院されました。
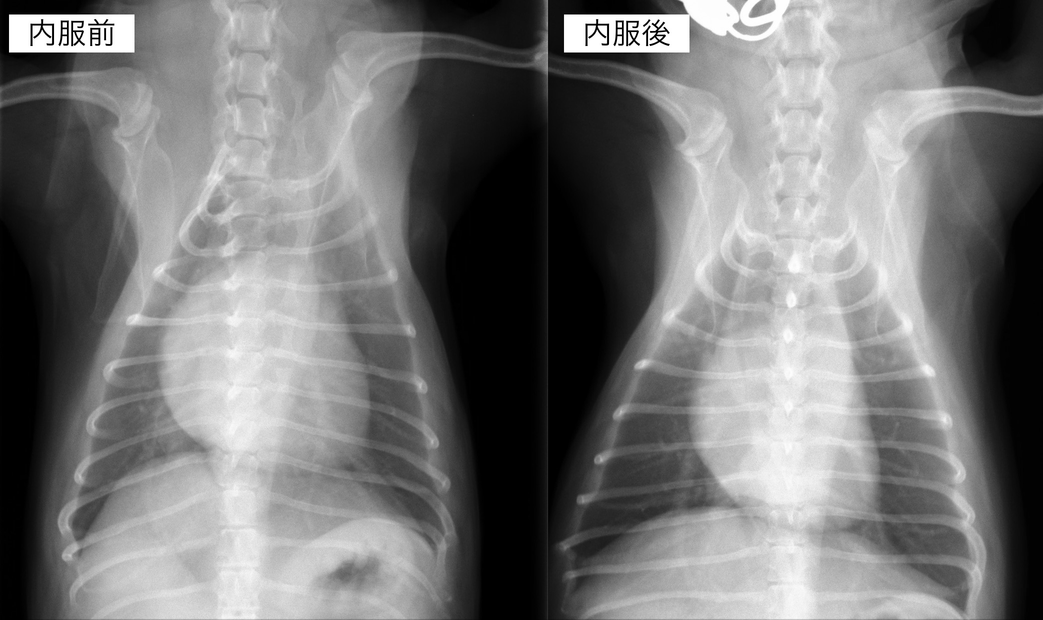
聴診検査にて心雑音が観察され、レントゲンん検査では心臓の明らかな拡大が認められました。
超音波検査では、僧帽弁閉鎖不全による血液の逆流が認められ、内服を開始しました。
内服開始1ヶ月後のレントゲン検査です。
心臓の拡大はやや改善しており、咳の頻度も減っているとのことでした。
現在は定期的な検診を行い内服の継続で、病態の悪化はなく元気に過ごしております。
当グループ病院では、心臓専門医が勤務しており、専門の検査機器なども設備しております。
詳しい検査は、日中にお預かりを行なっての実施になります。
何か気になることがございましたら、お気軽にご相談ください。


文責:獣医師 横山

本駒込動物動物病院
〒113-0021 文京区本駒込2-27-10  03-5319-1910
(豊島区・北区、駒込駅・千石駅近く)
[内科症例一覧]