CASES 症例紹介
ここでは特徴的な症例について、一部をご紹介いたします。
※手術の写真を掲載しておりますので、苦手な方はご注意ください。
小滝橋動物病院グループ全体の外科症例件数については、>こちらをご参照ください。
一般外科症例

膝蓋骨脱臼パテラの犬の1例(整形外科、パテラ、膝がゆるい)

膝蓋骨脱臼は犬(特に小型犬)で最も多く見られる整形外科疾患の1つであり、その多くは生まれ持っての解剖学的な問題による先天性のものです。稀ではありますが猫でも見られます。

膝蓋骨(パテラ)とはいわゆる膝のお皿の骨のことであり、膝関節の屈伸時に大腿骨(モモの骨)の溝(大腿骨滑車溝)の中を滑ることによって、膝関節の動きを滑らかにするというという重要な役割を果たしています。
3Dビジュアルで学ぶ犬の関節解剖学(緑書房/枝村一哉 監訳)
この膝蓋骨が溝から滑り落ちてしまった状態(多くは内側)が膝蓋骨脱臼です。

もともと滑車溝が浅かったり、筋肉のバランスが悪かったり、股関節の問題が付随していたりと、その原因は様々であり、 多くの子は複数の原因の結果、膝蓋骨脱臼が起こっています。

多くの子は痛みは伴いませんが、違和感でうまく歩けなかったり、
脱臼と整復を繰り返すことによって骨が擦れ関節炎が進行したり、
成長期の子がこの疾患を抱えている場合、成長と共に骨が曲がってきてしまうこともあります。
また、加齢に伴い膝の靭帯(前十字靭帯)に負担がかかり、いずれ損傷を起こし、全く肢を使えなくなってしまう危険性もあります。
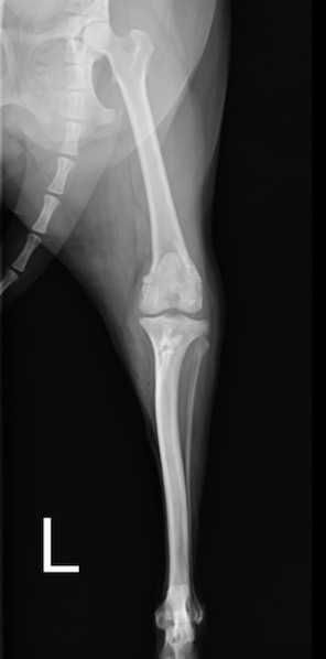
膝蓋骨が滑車溝の真ん中から左側(身体の内側)にずれているのが分かります
術中の写真です。溝はありますが浅いです。
溝の表面をブロック型に骨切りし、内部を削って深くします。
一度外したブロックの部分を再び戻します。骨切り前に比べて溝が深くなっているのが分かります。
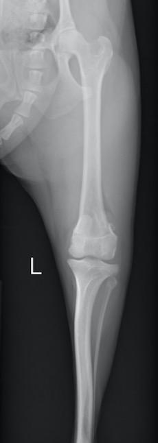
術後のX線画像です。膝蓋骨がきれいに滑車溝におさまるようになりました。
膝蓋骨脱臼には様々な要因がある故、上記のような骨を切って溝を深くする造溝術の他にも複数の手技を組み合せて手術を行います。

整形外科疾患は直接生命を脅かすものではありませんが、わんちゃん・ねこちゃんが快適に過ごし、ストレス無くお散歩に行ったり遊んだりするためには対処する必要がある重要な疾患です。

しかし、必ずしも手術が必要なわけではなく、内科管理でうまく対応できる子も多くいます。

『病院で膝がゆるいと言われてことがあるけれど、どうすればいいのかよく分からない』『たまに肢を挙上するなどの症状があるので心配』『そもそも手術ってどんなことをするのだろう?』など、どんな些細なことでも構いませんので、お気軽に御相談していただければと思います。


文責:獣医師 多喜

本駒込動物病院
〒113-0021 文京区本駒込2-27-10  03-5319-1910
[一般外科症例一覧]