CASES 症例紹介
ここでは特徴的な症例について、一部をご紹介いたします。
※手術の写真を掲載しておりますので、苦手な方はご注意ください。
小滝橋動物病院グループ全体の外科症例件数については、>こちらをご参照ください。
一般外科症例

中手骨と中足骨の骨折(整形外科、前肢・後肢の指の骨、犬猫)

中手骨(前足の指の骨)と中足骨(後ろ足の指の骨)の骨折は犬でも猫でも見られますが、一度に複数の骨を骨折してしまうことが多いのが特徴のです。

高い所から落ちてしまったり、物に挟んでしまったりといった子が多いです。

1本のみの骨折で折れた骨の位置的なずれが少ない場合は包帯などの外固定で良好な予後が得られる可能性もあります。
しかし、一度骨がずれてしまうと外科的介入をしないと正常に骨を癒合させることは難しいのが実情です。
外科的な整復は大きく分けてプレート法とピンニング法の2つの方法を行っています。
骨折の場所や骨の太さによって、どちらの方法が最適かを判断し選択します。

受傷する子で最も多いのは5㎏以下の小型犬ですが、骨の太さは2~3mmしかないため、繊細で慎重な作業が必要となります。
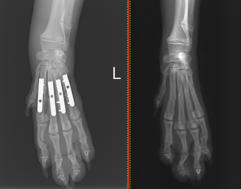
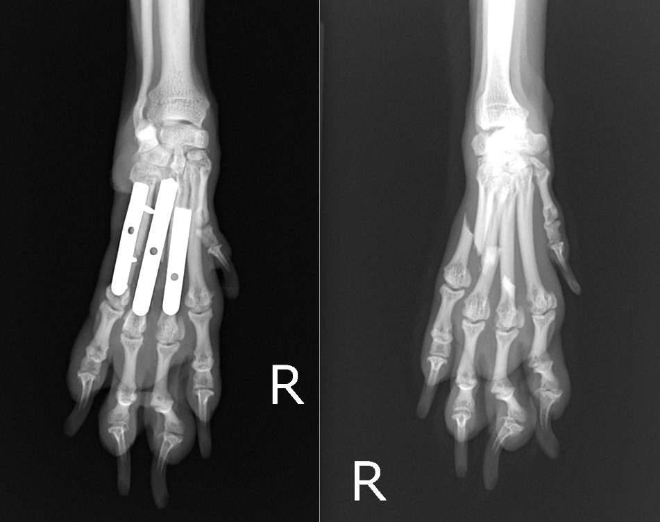
犬の中手骨骨折(1.1mmプレート使用) 左:術後/右:術前
犬の中手骨骨折(1.1mmプレート使用) 左:術後/右:術前
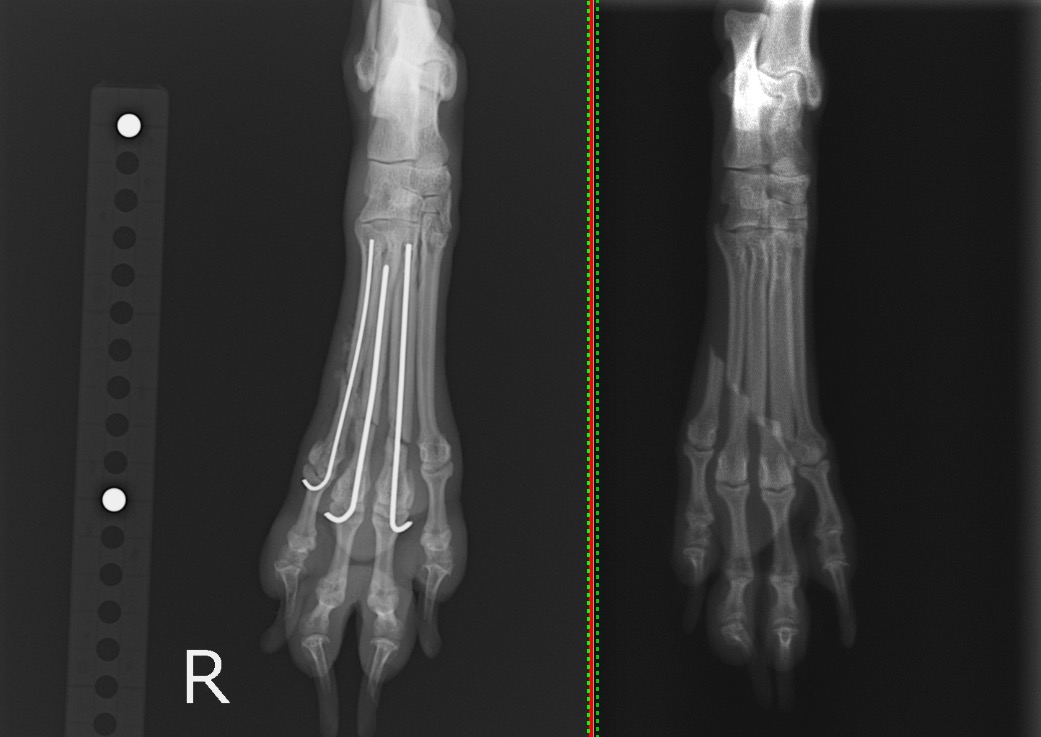
犬の中足骨骨折(0.6mmピン、0.8mmピン使用) 左:術後/右:術前
術後しばらくは包帯の併用が必要ですが、しっかり骨が癒合すれば問題なく運動機能の回復が見込めます。





文責:獣医師 多喜

本駒込動物動物病院
〒113-0021 文京区本駒込2-27-10  03-5319-1910
(豊島区・北区、駒込駅・千石駅近く)
[一般外科症例一覧]