CASES 症例紹介
ここでは特徴的な症例について、一部をご紹介いたします。
※手術の写真を掲載しておりますので、苦手な方はご注意ください。
小滝橋動物病院グループ全体の外科症例件数については、>こちらをご参照ください。
一般外科症例

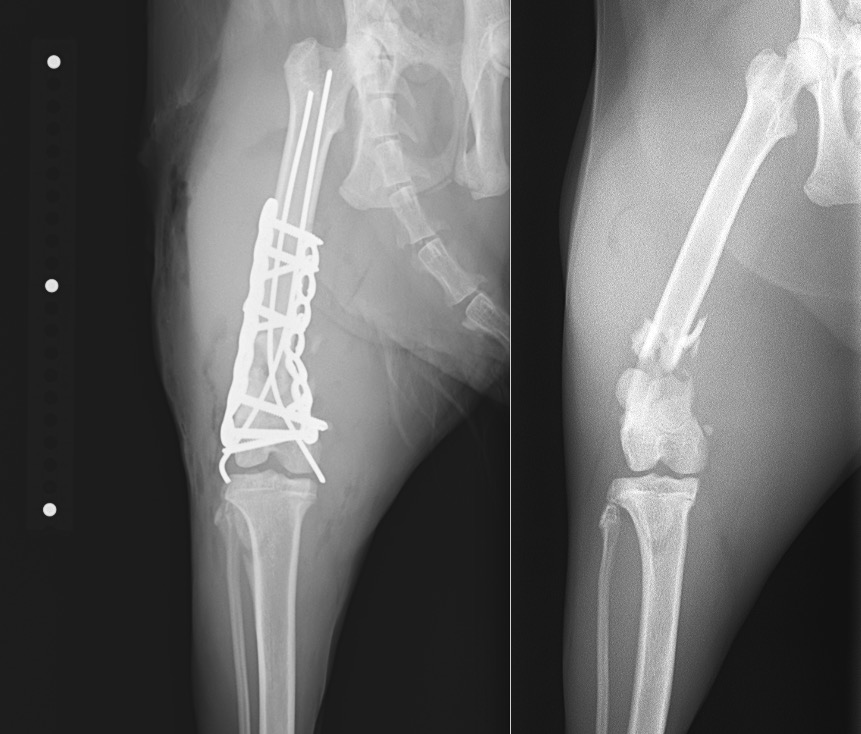
高所からの落下により大腿骨粉砕骨折を受傷した猫の1例(整形外科、骨折手術、後ろ足、プレート、ピン)

建物の高層階から落下してしまった猫さんです。
右の大腿骨(太ももの骨)の遠位(膝の関節に近い部分)が粉砕骨折(骨片が3つ以上に砕けてしまう骨折)してしまっていました。
正常肢と比べると、膝の関節に近い部分の骨が折れてしまっているのが分かります。
CT検査も実施し、より詳細な状況把握を行いました。

各種検査で、幸いこの部分以外の損傷は見つからず、骨折の安定化のための外科療法を実施しました。
骨折の見られる右後肢/正常な左後肢
CTによる3D像 骨折の見られる右後肢/正常な左後肢
CTによる3D像
外科療法は内外側から2本のピン(髄内ピン、ラッシュピン)を挿入し、外側に2.4㎜ロッキングプレート(LCP)、内側に2.0mmロッキングプレート(LCP)を設置、強固な固定を目指しました。
右後肢側面像 術後/術前
右後肢正面像 術後/術前
術後の経過は良好であり、退院する頃には手術をした右の後ろ足も使って自分で歩いてくれるようになっています。
文責:獣医師 多喜

本駒込動物動物病院
〒113-0021 文京区本駒込2-27-10  03-5319-1910
(豊島区・北区、駒込駅・千石駅近く)
[一般外科症例一覧]