CASES 症例紹介
ここでは特徴的な症例について、一部をご紹介いたします。
※手術の写真を掲載しておりますので、苦手な方はご注意ください。
小滝橋動物病院グループ全体の外科症例件数については、>こちらをご参照ください。
一般外科症例

脛骨粗面剥離骨折の幼犬の1例(整形外科、後肢、膝)

今回の症例は高さのある場所から落ちてしまった際に後ろ足の一部を強打し、その後痛がってその後ろ足を着かなくなってしまったという主訴で来院されました。

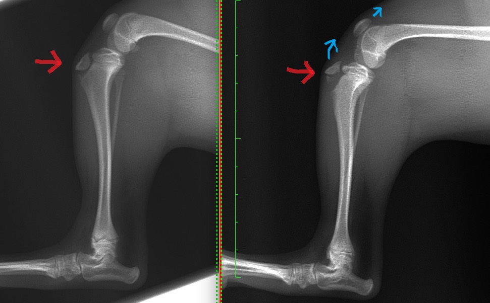
視診、触診(整形外科学的検査)、歩様検査を実施し、左後肢の跛行と左膝関節の腫脹・疼痛が見られたため、X線検査を行いました。
X線検査の結果、外傷性の脛骨粗面剥離骨折が強く疑われました。
脛骨粗面(赤矢印)とは、膝の膝蓋靭帯が脛骨(すねの骨)の付着している部位であり、大腿四頭筋群や膝蓋骨とも連絡し、強い力がかかります。
成長期ではまだ完全に骨化していないのでX線では周囲が黒く抜けて見えていますが、写真右側の患肢は骨折があるため大腿四頭筋群や膝蓋靭帯の強い力で引っ張られ上方に変位(水色矢印)してしまっているのが分かるかと思います。
これにより、膝関節周囲の腫れや疼痛が引き起こされていました。
急性期の疼痛は時間経過とともに治まってきますが、この状態で放っておくと脛骨粗面や膝蓋骨が変位した状態で安定してしまい、二次的な膝蓋骨脱臼・関節炎、膝関節の可動域制限などの症状が出てくることが考えられたため、外科的に整復することとなりました。
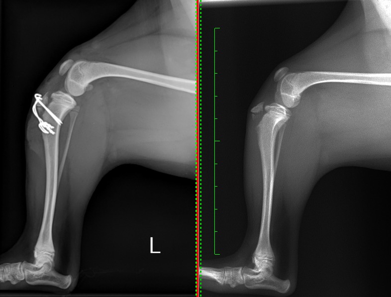
右が手術前、左が整復手術後になります。
上方変位している脛骨粗面を本来の位置に引っ張り戻した後、金属製のピンを2本挿入し固定しました。
この時点で十分な整復を得ることができましたが、靭帯や筋肉による上に引っ張る強い力によってピンが抜けてきてしまうリスクを軽減させるため、整形外科ワイヤーを使いピンを圧着させる手技(テンションバンドワイヤー法)を追加で行いました。

術後の経過はとても良く、膝関節の痛みや腫れもなく元気に足を使えるようになりました。



文責:獣医師 多喜

本駒込動物動物病院
〒113-0021 文京区本駒込2-27-10  03-5319-1910
[一般外科症例一覧]