CASES 症例紹介
ここでは特徴的な症例について、一部をご紹介いたします。
※手術の写真を掲載しておりますので、苦手な方はご注意ください。
小滝橋動物病院グループ全体の外科症例件数については、>こちらをご参照ください。
一般外科症例

子宮蓄膿症の犬の1例(避妊・去勢手術)

子宮蓄膿症は、避妊手術を行っていない犬猫に起こり、子宮腔内に膿が溜まってしまう病気です。
子宮腔内の膿が全身性の中毒を引き起こし、進行してしまうと多臓器不全などの重症疾患に陥ることがあります。

開放性:外陰部からの排膿あり
閉鎖性:外陰部からの排膿なし
の2種類に分類されます。
閉鎖性は発見が遅れることが多く、来院のときにはすでに重症化していることが多いです。
全身症状として〈食欲不振〉〈発熱〉〈多飲多尿〉〈嘔吐〉〈腹部膨満〉などが認められます。


治療として 内科療法:ホルモン注射を行い一時的に改善しますが、再発するリスクがあります。
外科療法:支給卵巣を摘出するため、再発するリスクがなく根治できます。
が挙げられます。
当院では手術リスクが高くない場合を除いて、ほとんどの症例で外科療法を選択します。



今回は外陰部から排膿があるビションフリーゼ、6歳、未避妊雌で子宮蓄膿症と診断し、卵巣子宮摘出を行った1例を紹介します。
前日からの外陰部の出血、2-3日前より元気食欲が低下、嘔吐を繰り返すとのことで来院されました。
血液検査では炎症の数値である白血球193000μL(正常値:6000-17000)、CRP>7.0mg/dL(正常値:<0.7)で、
全身性の炎症が認められました。
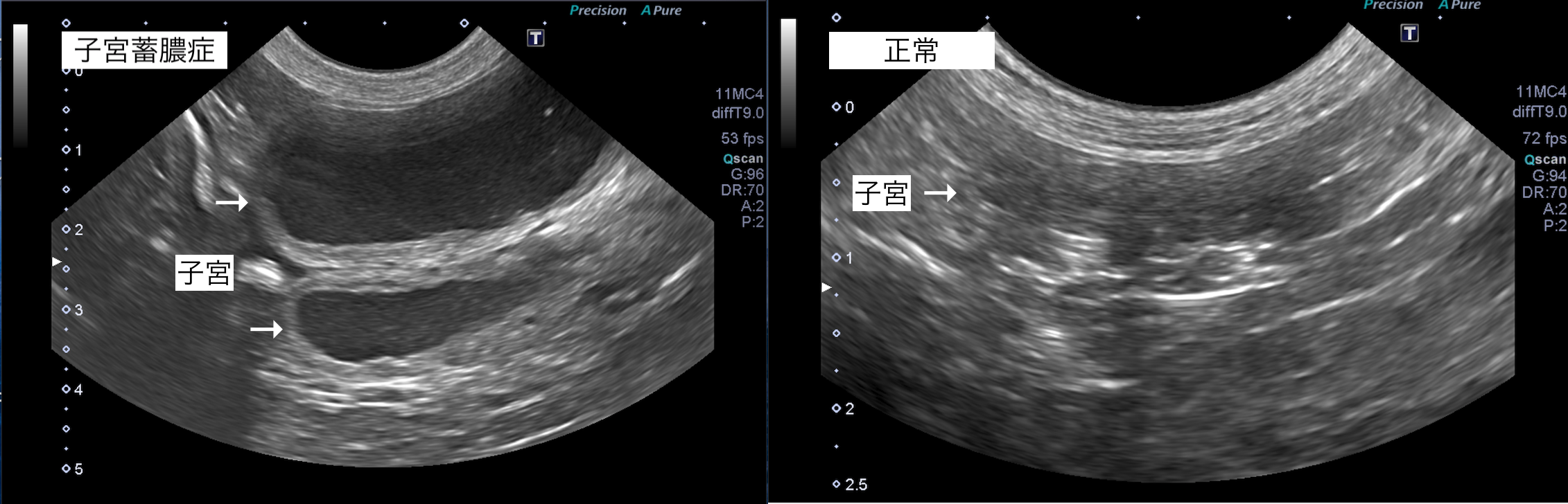
超音波検査では子宮に液体貯留が認められたため、子宮蓄膿症と診断しました。
その他の臓器は問題なく、出産予定もないとのことなので、外科療法を選択し卵巣子宮摘出を実施しました。
以下の写真の子宮腔内には、膿が溜まっています。
手術後、子宮内の膿の培養検査を実施し、抗生剤投与と点滴を行いました。
手術後3-4日で炎症の数値も下がり、ご飯も食べるようになりました。
抜糸以降問題なく生活しております。


子宮蓄膿症は、避妊手術で予防が可能な病気の1つです。
出産予定がない場合は、早期の避妊手術の実施をお勧めしております。
ご質問がございましたら、お気軽にご相談ください。



文責:獣医師 横山

本駒込動物動物病院
〒113-0021 文京区本駒込2-27-10  03-5319-1910
(豊島区・北区、駒込駅・千石駅近く)
[一般外科症例一覧]